こんにちは、衛生士の杉山です。
今回は「大人の歯の矯正」についてお話しします。
皆さんは矯正治療にどんなイメージをお持ちでしょうか?
以前は「矯正=子どもや若い人がするもの」という印象が強かったのですが、現在は 大人になってから矯正を始める方がとても増えています。
見た目を整えるのはもちろん大切ですが、実は かみ合わせを整えることもとても重要です。
歯並びが乱れていると磨き残しが増え、むし歯や歯周病のリスクが上がってしまいます。また、かみ合わせが悪いと一部の歯に負担がかかりすぎてしまい、その歯の寿命が短くなる傾向があります。
「人生100年時代」の今、歯を長く健康に使うための選択肢として、矯正は年齢に関係なくおすすめできる治療です。
とはいえ、
・どんな流れで進むの?
・痛みはあるの?
・実際の様子が知りたい
という不安や疑問の声も多く伺います。
そこで今回の【大人の矯正シリーズ】では、現在矯正治療中の患者様にご協力いただき、治療の過程や感想をお届けしていきます。少しでも皆さまの安心につながれば嬉しいです。
目次
①患者様プロフィールと矯正のきっかけ②矯正の流れ
③装置の説明
④MFTってなに?
⑤矯正の経過写真
⑥ご本人の感想
① 患者様プロフィールと矯正を始めたきっかけ
40代・女性
〈矯正を始めた理由>
・前歯をもう少し引っ込めたい
・歯と歯の隙間をなくしたい

② 矯正治療の流れ
治療は次のようなステップで進んでいきます。
① 歯の間を広げるための準備
奥歯にバンド(リング状の装置)をつけるため、まずはセパレーター(小さな輪ゴム)を歯と歯の間に入れてスペースを作ります。
1~2週間ほどで少し隙間ができてきます。
② 装置(ブラケット・バンド)を装着
その後、バンドとブラケットを歯につけ、ワイヤーを通して歯を動かし始めます。
③ MFT(口腔筋機能療法)の開始
全体のブラケットが入ったタイミングで、口周りの筋肉を鍛えるトレーニング「MFT」もスタートします。
④ 上顎にアイステーション(固定装置)を埋入
矯正開始5か月目に、歯を効率よく動かすための固定源として、上顎にアイステーションを設置しました。
⑤ 抜歯
この患者様の場合は、前歯のスペース確保のため 上下左右1本ずつ抜歯を行いました。
アイステーションがしっかり固定されたら、次は内側にワイヤーが追加される予定です。
③ 装置の説明
● ブラケット
歯の表側(または裏側)に付ける、ワイヤーを固定するための小さな装置。
● バンド
主に第一大臼歯(6番)につけるリング状の装置。外れにくく、強い固定源になる。

● セパレーター
歯の間を広げるために入れる、小さな輪ゴム状の道具。
● アイステーション
④ MFTってなに?
MFT(口腔筋機能療法)とは、
食べる(咀嚼)・飲む(嚥下)・発音・呼吸などに関わる、舌や唇の動きを整えるトレーニングです。
矯正が必要な方の多くは、舌や口周りの筋肉が弱かったり、正しい位置に癖づいていないため、歯並びにも影響が出ていることが多いです。
「矯正と舌や唇の筋肉って関係あるの?」と思われる方もいらっしゃいますよね。
実はこの関係、とても深いんです。
以下のように悪循環が起こりやすくなります。
① 舌・唇の筋力が弱い
↓
② 唇が閉じにくく口が開きやすい/舌で無意識に歯を押してしまう
↓
③ 中からの圧力+外からの圧が弱いため、歯並びが乱れる
↓
④ 歯並びが乱れるほど、舌の位置も悪くなる
↓
⑤ さらに筋力が低下
↓
①に戻る

このような流れから、矯正装置で歯を動かしても 舌で押してしまうことで治療が進みにくかったり、治療後に「後戻り」が起こりやすくなることがあります。
さらに、口腔機能(食べる・飲む・話す・呼吸)にも影響が出やすく、全身の健康にまで関わります。
だからこそ当院では、
MFTは矯正治療に欠かせない大切なトレーニングと考えています。
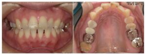
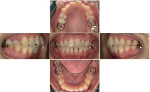
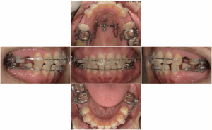
⑤ 矯正の経過写真
矯正開始前と最新のお写真を掲載しています。
実際の変化が伝わりやすいので、ぜひご覧ください。

Before

治療途中(現在)
⑥ 患者様の感想
・ワイヤーを変えた後は数日ほど痛みがあり、柔らかい食事をとっていました
・食べ物が装置にひっかかる
・慣れるまで、少し喋りにくかった
装置がお口の中に入るため、どうしても最初は違和感や痛みが出る場合があります。
ほとんどの方が徐々に慣れていき、日常生活への支障は少なくなっていきます。
特にワイヤー交換後は、歯に新しい力がかかることで噛む時の痛みが出やすいですが、多くの場合 数日で落ち着きます。
また、装置が入ると食べ物が詰まりやすかったり、歯磨きが難しくなりますが、この患者様は毎日とても丁寧に磨いてくださっていて、治療も順調に進んでいます。
むし歯になってしまうと装置で見えにくく、治療も大変になるため、
月1回の調整日に全体のクリーニングとフッ素塗布を行いながら、しっかりサポートしていきます。

矯正は時間もかかり、ご本人の努力も必要な治療ですが、私たちスタッフ全員でしっかりサポートしますので、気になることや困ったことはどんな小さなことでもご相談くださいね。
次回は【大人の歯列矯正②】として、さらに治療の詳しい経過をお届けします。
楽しみにお待ちください!
